
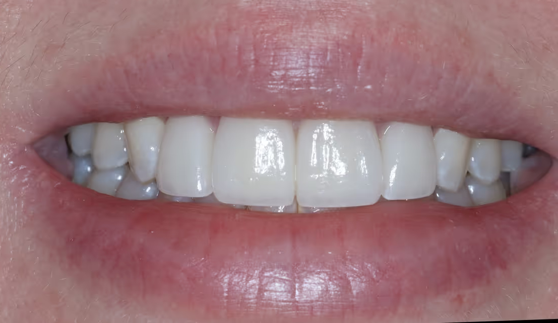
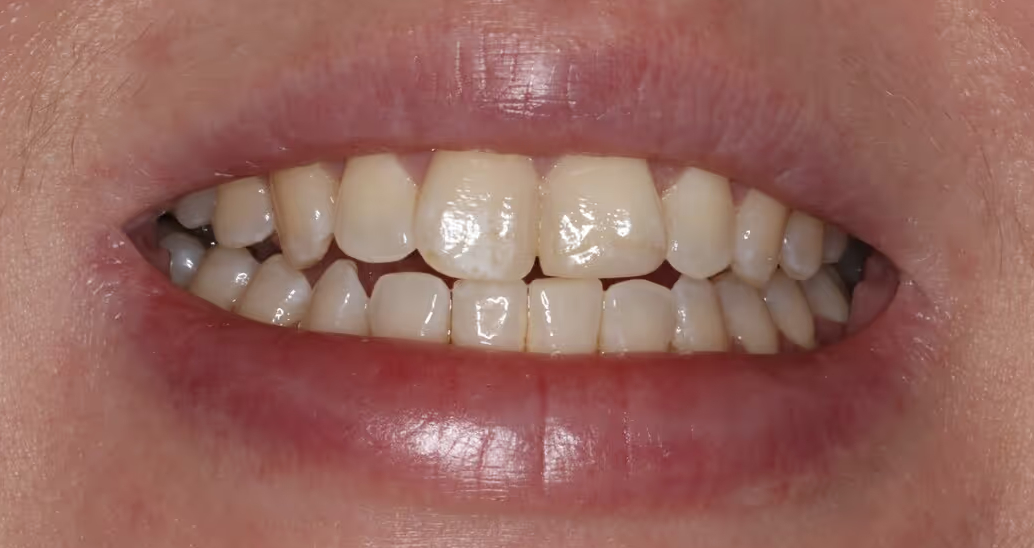
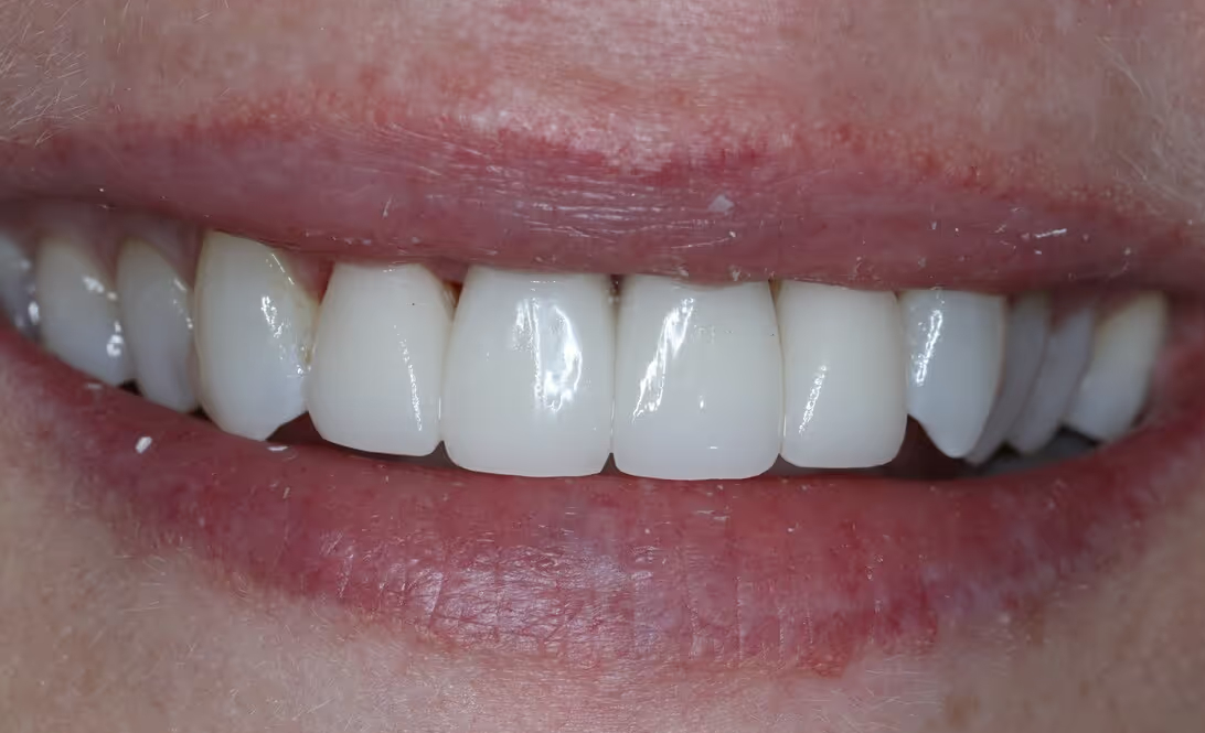
Smile Gallery
At The Houston Dentists, it’s about more than improving your smile—we want to change your life. With more than 6,000 smiles transformed, you can rest easy knowing that your smile is in expert hands. Explore real patient success stories and discover your smile's potential with our before & after gallery.

























































































































































































































.png)
.png)
.png)
.png)
.png)
.png)
.png)
.png)



.png)
.png)
.png)
.png)
.png)
.png)
.png)
.png)
.png)
.png)
.png)
.png)
.png)
.png)
.png)
.png)

.png)